DFG fördert Forschungsprojekt REACT: Bessere Therapie gegen schwer behandelbaren Lymphdrüsenkrebs
DFG fördert Forschungsprojekt REACT
Bessere Therapie gegen schwer behandelbaren Lymphdrüsenkrebs
Die Deutsche Forschungsgemeinschaft fördert das Projekt REACT mit 3,2 Millionen Euro, um neue Wege zur Behandlung seltener und besonders schwer therapierbarer Lymphdrüsenkrebserkrankungen des Immunsystems zu erforschen. An dem bis Dezember 2028 laufenden Studienvorhaben sind unter anderem Wissenschaftler:innen der Medizinischen Fakultät der Universität Duisburg-Essen sowie ein Team der Universitätsmedizin Göttingen beteiligt. Knapp 1,6 Millionen Euro – etwa die Hälfte der Fördersumme – gehen an die Forschenden in Essen.
Ziel des Projekts ist, die Heilungschancen von Betroffenen deutlich zu erhöhen. Die Beteiligen möchten durch den smarteren und zielgenaueren Einsatz bekannter Therapien die Behandlung von T-Zell-Non-Hodgkin-Lymphomen verbessern, einer oft aggressiven Form von Lymphdrüsenkrebs. Solche T-Zell-Lymphome entstehen aus fehlgesteuerten Abwehrzellen des Immunsystems.
Mithilfe des bildgebenden Verfahrens PET-CT können die Forschenden früh erkennen, ob die Chemotherapie bei den Betroffenen ausreichend wirkt und ob sie von einer intensiveren Therapie mit Stammzelltransplantation profitieren könnten. PET-CT meint eine Kombination aus Positronen-Emissions-Tomographie und Computertomographie. Sie macht Stoffwechselaktivitäten und anatomische Strukturen sichtbar – und zeigt, wie aktiv Tumorgewebe ist, und wo es sich im Körper befindet.
„REACT hat das Potenzial, einen neuen Behandlungsstandard für T-Zell-Lymphome zu definieren“, sagt Prof. Dr. Andreas Hüttmann, Leitender Oberarzt der Klinik für Hämatologie und Stammzelltransplantation am Universitätsklinikum Essen. Entscheidend sei die enge Zusammenarbeit von Kliniker:innen, Nuklearmediziner:innen, Statistiker:innen und Studienzentren. 20 Unikliniken wirken als Prüfzentren mit. „Nur diese gebündelte Expertise hat die Förderung möglich gemacht, und sie eröffnet neue Perspektiven für schwer erkrankte Menschen.“ Neben ihm und seinem Essener Team ist die Universitätsmedizin Göttingen mit Prof. Dr. Gerald Wulf gleichberechtigt beteiligt an dem REACT-Projekt mit dem Titel „Allogene Zell-Therapie bei refraktären T-Zell-Lymphomen“. ACT steht für Allogeneic Cell Therapy und RE beschreibt das Reagieren auf einen PET-Befund.
„Die Studie adressiert einen klaren klinischen Bedarf“, heißt es in den Gutachten der Deutschen Forschungsgemeinschaft. Das Konzept sei gut begründet, die Zentren erfahren und hervorragend organisiert.
Portrait: Prof. Dr. Andreas Hüttmann
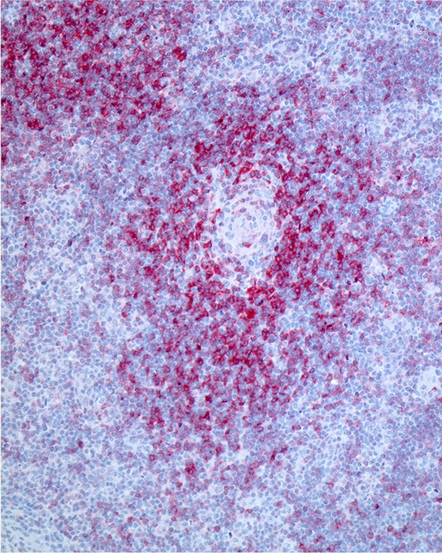
Im Bild: Die Mikroskop-Aufnahme zeigt die Anfärbung eines PD1-Oberflächenmoleküls auf Zellen eines angioimmunoblastischen T-Zell-Lymphoms (AITL). PD1 ist ein Molekül, das die körpereigene Immunabwehr hemmt. (Bildrechte: Prof. Dr. Sylvia Hartmann)
Weitere Informationen:
Prof. Dr. Andreas Hüttmann, Universitätsklinikum Essen, Klinik für Hämatologie und Stammzelltransplantation, andreas.huettmann@uk-essen.de, Tel. 0201/723-5136
Redaktion: Martin Rolshoven, Medizinische Fakultät der Universität Duisburg-Essen,
martin.rolshoven@uk-essen.de, Tel. 0201/723-6274
Universität Duisburg-Essen
Stabsstelle des Rektorats Hochschulmanagement und Kommunikation Ressort Presse Forsthausweg 2 ● 47057 Duisburg Ressortleitung, Pressesprecherin: Astrid Bergmeister 0203/ 37 9-2430 ● astrid.bergmeister@uni-due.de

